Tratamento do Bruxismo
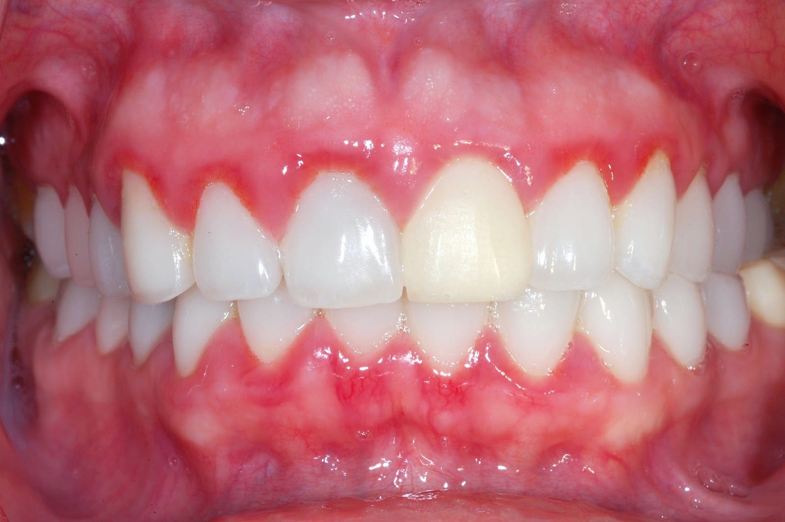
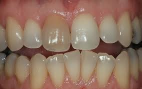
Tratamento do Bruxismo O tratamento do Bruxismo pode ser muitas vezes simples e em outras situações bastante complexo, dependendo das causas que desencadearam este hábito nocivo. O bruxismo é definido como uma desordem funcional que se caracteriza pelo ranger ou apertar dos dentes durante o sono. Os portadores de bruxismo devem procurar tão brevemente a…
















