Má Oclusão Dentária
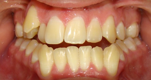
Má Oclusão Dentária – Introdução: Antes do entendimento sobre o que é má oclusão Dentária, é necessário compreender o que é oclusão dentária: A oclusão dentária é o contato entre as superfícies dentárias dos dentes superiores e inferiores durante o ato de fechamento da boca. Numa oclusão normal, quando a boca é fechada, os dentes superiores encobrem…











